治療前
治療後
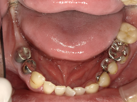
| はじめのご相談内容 | 「奥歯が割れたため歯を抜くことになったが、入れ歯は嫌なのでインプラント治療をしたい、手前の銀歯も一緒に白くしたい」とご相談いただきました。 |
|---|---|
| 診断結果 | 骨の状態を確認し、インプラント治療が問題なく出来ると判断しました。インプラントの上部構造として白い被せものが入る予定なので、手前の銀歯も合わせて治すことで、より上品な口元になると判断しました。 |
| 行った治療内容 | インプラントの上部構造部分はジルコニアを使った被せものにしたため、手前の銀歯も同じ素材で治す方が見た目が良くなることをご提案しました。 |
| 現在の様子 | 経過は良好です。 |
| このケースのおおよその治療期間 | インプラント治療は4か月、治療回数4回 差し歯の部分は3週間、治療回数3回 |
| おおよその費用 | インプラント2本分 600,000円(税別) 差し歯2本分 190,000円(税別) |
| 治療のリスク | インプラントはねじ止めで固定しているため、数か月から数年でネジが緩んでくることがあります。その場合はネジを締めなおす必要がありますが、1回で終わる簡単な処置です。 |
